合作客户/
拜耳公司 |
同济大学 |
联合大学 |
美国保洁 |
美国强生 |
瑞士罗氏 |
相关新闻Info
推荐新闻Info
-
> 反离子盐KBr浓度对酰胺基阳离子Gemini表面活性剂的表/界面活性的影响(二)
> 反离子盐KBr浓度对酰胺基阳离子Gemini表面活性剂的表/界面活性的影响(一)
> 典型离子型与非离子型起泡剂的界面行为对泡沫性能的影响机制
> 新无氰白铜锡电镀液及电镀方法可降低表面张力,促进镀液对复杂工件的润湿
> 一种耐超高温酸液体系、制备方法及其应用
> 纳米渗吸驱油剂种类、降低界面张力和改变润湿性的能力等机理研究(四)
> 复合驱中聚合物与阴离子表面活性剂的协同作用研究
> 化学组成对无碱铝硼硅OLED基板玻璃表面张力的影响——结果、结论
> 化学组成对无碱铝硼硅OLED基板玻璃表面张力的影响——摘要、实验方法
> 纳米渗吸驱油剂种类、降低界面张力和改变润湿性的能力等机理研究(三)
应用不同组装的磷脂酰胆碱对牛精浆蛋白的隔离:一种新的技术方法——结果、讨论、结论、致谢!
来源:上海蜜桃性爱视频网站 浏览 1659 次 发布时间:2022-01-19
3、结果
3.1.精浆的界面性质
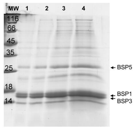
精浆SDS-PAGE电泳显示存在一系列不同比例的14至120 kDa的多肽(图1),与先前的研究结果一致[37]。在车道4上估计了14至30 kDa之间的五个主要波段的比例。
图1。从牛射精中分离并以不同浓度沉积的精浆SDS-PAGE凝胶:lane 1:1g;车道2:2g;车道3:5g和车道4:10g。
在大约16–17 kDa(74%强度)处发现了两条非常紧密和强烈的条带。它们被归因于BSP1和BSP3[12]。在大约28 kDa(9%)处检测到第二条带,对应于BSP5[12]。BSP1、BSP3和BSP5代表精浆中所含最小多肽的83%(在整个提取物中约占65%)[17]。另一条带在22kDa(4%)处检测到,另一条带在14kDa(13%)处检测到,对应于核糖核酸酶[22]。
图2。牛精浆溶液在空气-水界面的表面张力(±标准偏差),与提取物中所含蛋白质的浓度有关,并以对数标度表示(T=23.2◦C±0.3◦C、n=2,每个样品重复4次)。
通过跟踪精浆水溶液(图2)的表面张力与浓度(吉布斯膜)的关系,突出了组分。新样品的表面张力相对较低(47 mN/m),并随着样品的稀释而增加。在1/100000的大稀释后,表面张力值等于纯缓冲-空气界面(72 mN/m)的值。因此,精浆显示出显著的表面活性:首先,新鲜样品(47 mN/m)的表面张力与已知表面活性蛋白(如牛血清白蛋白[38]或溶菌酶[39])的值一样低,其次,表面活性仍然存在于较大的浓度范围内(需要稀释100000以去除表面活性)。此外,通过朗缪尔薄膜分析了空气-缓冲界面处表面薄膜的稳定性。薄膜()的压缩等温线显示压力在两个步骤中从0显著增加到35 mN/m。在18.9 mN/m时,出现斜率断裂,这与空气-缓冲界面分子构象的变化有关。在较高压力下压缩膜的能力(大约与生物膜相关的压力,25 mN/m)表明,由精浆成分形成的膜具有较高的稳定性。
通过传播精浆在空气/缓冲液界面形成的单层的表面压力面积(?–A)等温线(n=3,标准偏差在0-18.9 mN/m范围内不超过1.5 mN/m,在18.9-38 mN/m范围内不超过1.2 mN/m)。
3.2.低密度脂蛋白和脂质体对精子膜仿生外小叶的作用
将低密度脂蛋白和脂质体引入精子膜仿生外小叶亚期的影响如图4所示。对于控制测量(未注入任何保护剂,设计为图4中的M),表面积随时间略微减小。当低密度脂蛋白被注射到重建的外小叶下方的亚相(图4中的曲线M/LDL)时,它导致表面积快速而大的增加。相反,与参考单层(曲线M)相比,脂质体的注射(图4中的曲线M/C4)几乎没有改变单层的膜压力。脂质体与单层脂质体的结合动力学比低密度脂蛋白慢得多。因此,在与精液制备相对应的时间尺度上,脂质体在空气-水界面上的吸附较弱。
图4。单层(M)所覆盖的界面的相对表面积随时间的变化,该单层(M)以25 mN/M的速度压缩,并在不含任何额外分子(-)的缓冲液上形成,(…)LDL(4.6 mg PC)和(-)脂质体C4(含4.8 mg PC)。气温是34度◦C在空气-缓冲器接口处。
对于低密度脂蛋白,根据低密度脂蛋白的组成,注射磷脂酰胆碱的量估计为4.6毫克[33]。就脂质体而言,该分散体含有6.55±0.02 mg脂质,即4.8 mg磷脂酰胆碱。在重建的精子膜外小叶下注射低密度脂蛋白后,表面积的大幅增加可能与低密度脂蛋白在空气-水界面自发吸附和扩散的能力有关[33]。低密度脂蛋白在界面处的容易破坏可能释放出磷脂和蛋白质,这些磷脂和蛋白质是表面活性物质,而甘油三酯是不可溶的[33]。对于脂质体,形成双层磷脂和形成单层磷脂之间的平衡取决于链不饱和度、链长和极性头基[40]。考虑到鸡蛋卵磷脂(PC 74%)的主要成分及其脂肪酸组成[41],饱和PC和不饱和PC的比例分别约为48%和52%。在本研究的温度下,饱和PC未熔化,可能不会在界面扩散,而不饱和PC远远超过其熔化温度,并可能扩散。在剩余的部分PE(11%)中,形成磷脂的双层和单层之间的平衡与磷脂的结构密切相关,因此不能对它们给出任何结论。因此,没有基本的解释。鸡蛋脂质体缺乏吸附可以解释为其扩散之前已在自由界面上进行过检查:界面上已经存在的单层可能会限制磷脂基脂质体的扩散,而磷脂基脂质体在其他地方被认为是高稳定性的散装物,尤其是由磷脂酰胆碱组成时。
3.3.低密度脂蛋白和脂质体分离精浆成分
将牛精浆(SP)注射到单层下方时,监测分子面积随时间的变化(图5中的曲线M/SP)。由于脂质覆盖了界面,表面积并没有立即增加,而是在150s后才增加。它在150秒内达到最大值(注射后300秒),然后稳定300秒并随时间缓慢下降(图5)。表面积的快速增加表明SP组分(很可能是蛋白质)具有良好的表面活性,如图所示。2和3。600秒后,比表面积的减小速度与纯单分子膜相同。因此,BSP蛋白一旦被吸附,就会留在界面上。
图5。注入(…)后,由单层(M)覆盖并在不含(-)额外分子的缓冲液上形成的界面的相对表面积随时间的变化SP(26.6±1.5 mg蛋白质)、SP(26.6±1.5 mg蛋白质)和不同浓度(··-)C1、(·-)C2的脂质体的混合物,(·-)C3和(·-)C4(分别为1.17±0.02 mg、2.18±0.02 mg、4.37±0.02 mg和6.55±0.02 mg脂质)和(---)LDL(4.6 mg PC)和SP(26.6±1.5 mg蛋白质)的混合物。气温是34度◦C在空气-缓冲器接口处。表面压力保持在25 mN/m。
当LDL与牛精浆以重量-蛋白质比10:1(BSP:LDL)混合并注射到单层下方时,随时间记录的单层分子面积几乎没有变化(曲线M/SP+LDL,图5)。400秒左右出现一个肩部,显示BSP蛋白的弱吸附(该肩部代表M/SP的5%,上图曲线)。然后,分子面积的变化在1000秒后减小并趋于稳定。其下降幅度不如M和M/SP曲线的变化幅度大,表明LDL组分吸附,与它们在界面上的高扩散能力一致(曲线M/LDL,图4)。因此,由于低密度脂蛋白(LDL),SP中BSP蛋白在界面上的吸附大大减少,BSP/LDL的比率非常接近最佳值,以完全防止BSP蛋白影响单层。根据低密度脂蛋白的组成,注射磷脂酰胆碱的量估计为4.61毫克[33]。因此,向4.61 mg低密度脂蛋白磷脂酰胆碱注射26.6 mg精浆蛋白质,即0.17 mg磷脂酰胆碱注射1 mg精浆蛋白质。
脂质体(不同浓度)对BSP蛋白的作用也如图5所示。脂质体在进入亚阶段前与精浆接触。随着脂质体中浓度的增加(曲线M/SP+C1至C4),BSP蛋白吸附引起的表面积增加逐渐延迟并减少。当含量达到4.37 mg(C3)时,界面上仍有少量BSP蛋白掺入,1600 s时出现肩部。在最高浓度(C4)下,未观察到BSP蛋白掺入,分子面积的变化甚至比对照曲线更负,表明膜组分在亚相中轻微溶解。因此,脂质体作用于BSP蛋白的方式与LDL相同。最有趣的比例似乎介于C3和C4之间。根据确定面积变化与脂质体注射磷脂质量之间相互作用的曲线计算得出(图6)。注射26.6 mg BSP的最佳质量为4.6 mg,即PC:BSP比为0.16(w/w)。
图6。相对面积随注射到亚相的脂质体质量的变化。线性回归的R2为0.992。
3.4.脂质体对精浆作用的显微评价
用透射电镜(TEM)观察脂质体或LDL与含有SP的BSP蛋白的混合物,并与对照组进行比较。无论放大倍数如何,与精浆相对应的图像均未显示任何结构(图S1)。相反,与LDL和脂质体相关的结构很容易通过(i)LDL的致密且相当圆的形状(图7A)和(ii)脂质体的圆形且有时为多层结构(图7B)来识别。在存在精浆的情况下,对整套图像的分析仍然显示出圆形物体。它们的大小平均与未使用螯合剂分析的大小相似(图S2)。然而,在SP存在的几个地方,观察到一些大的圆形物体,其特征是(i)被厚层(图7C含LDL)包围的天然状结构,或(ii)环形内的致密核心(图7D含脂质体和图S3)。与图7B相比,与精浆混合的脂质体系统地呈现出比天然脂质体更致密的核心。这些新结构可能是由于BSP蛋白渗透到界面层而导致膜破裂的结果,从而导致TEM对比度的改变。
图7。(A)低密度脂蛋白,(B)脂质体,(C)低密度脂蛋白和精浆(精浆中的比例为0.17 mg PC/mg BSP蛋白质)和(D)脂质体和精浆(精浆中的比例为0.16 mg PC脂质体/mg BSP蛋白质)的冷冻电镜图像。
4、讨论
4.1.BSP蛋白的表面性质及其可能的生物学作用
张力测定结果显示精浆中含有表面活性成分。这些很可能是蛋白质,因为它们构成精浆的主要部分。它们由几个亲水性和疏水性域组成[5],赋予它们两亲性。考虑到生物学背景,蜜桃性爱视频网站可以假设BSP蛋白能够到达磷脂覆盖的界面,这是由于它们与PC的相互作用和自身的表面活性。这可以解释为什么这个过程很快[42]。将肽或蛋白质插入磷脂单分子膜通常在比凝聚域更可压缩的流体域中进行[43]。34岁◦C、流体域由血浆卤素和不饱和磷脂酰胆碱组成[35]。因此,根据前面提到的涉及疏水腔的机制,BSP蛋白可以很容易地穿透这些流体结构域,在这些流体结构域中它们可以立即与含有磷酸胆碱的分子相互作用[11,12,34,42,44–46]。吸附的BSP量可能受到流体域可压缩性的限制。综上所述,BSP蛋白质一旦被吸附,由于其表面性质(蜜桃性爱视频网站的工作)、构象重排[47]以及它们与膜组件的强烈相互作用[48],仍然固定在界面上。
4.2.脂质体和低密度脂蛋白在分离BSP蛋白中的作用
蜜桃性爱视频网站的结果表明,只要使用合适的脂质体/BSP比例,脂质体就可以像LDL一样有效地阻止BSP蛋白到达界面。对于低密度脂蛋白,蜜桃性爱视频网站的模型显示,低温保存中常用的BSP/LDL比率(10:1 w/w)非常接近最佳值,以完全防止BSP蛋白影响单层。低密度脂蛋白组织中PC/BSP与PC的比率为0.17 mg磷脂酰胆碱,1 mg精浆蛋白质。同样,脂质体的最佳比例PC/BSP为0.16 mg磷脂酰胆碱和1 mg精浆蛋白质。知道卵子中PC的比例可能取决于喂食情况,不同批次的LDL中PC的比例可能不同,因此这些比例被认为是相等的。该比率与LDL或脂质体的隔离结构无关的事实表明,LDL中的载脂蛋白不与BSP结合,尽管这种结合是可能的[26,49]。更引人注目的是,这一结果表明PC作为LDL中的单层或脂质体中的双层组装没有影响。在低密度脂蛋白的情况下,磷脂占据外层单层,并且所有这些磷脂都可被蛋白质接近。相反,只有形成单层脂质体的双层外小叶的磷脂真正与BSP蛋白直接接触。由于脂质体和低密度脂蛋白的络合比率相同,并且PCP分子(74%)也构成双层的内小叶,因此这些分子也参与BSP蛋白的络合。与BSP蛋白易于插入疏水膜相一致,这些BSP蛋白可向内小叶迁移,并诱导脂质体双层破裂/融合,如TEM所观察到的。然而,样品中LDL和脂质体的结构变化并不普遍,BSP蛋白可以认为主要锚定在LDL和脂质体的表面。当脂质体与BSP的比例高于本文所研究的比例时,BSP1(BSP家族中的主要蛋白质)诱导脂质小泡的伸长和珠项链状结构的形成,这些结构演变为小泡或线状结构[50]。
5、结论
首先,表面张力测量证明牛精浆具有很好的表面活性,可能与BSP蛋白有关。其次,Langmuir膜法(先前被证明是公牛精子外细胞膜的相关脂质单层模型[35])有助于表征BSP蛋白对脂质膜的亲和力。BSP蛋白能够到达被磷脂覆盖的牛精子细胞表面,这得益于它们与磷脂酰胆碱的相互作用和自身的表面活性。蜜桃性爱视频网站的假设是,由于它们自身的表面活性,它们首先穿透精子的外小叶,然后由于与磷脂酰胆碱的强烈相互作用而留在那里。最后,利用Langmuir膜法对已知的BSP蛋白螯合剂如ldl和脂质体的作用进行了筛选。脂质体与低密度脂蛋白一样有效地阻止BSP蛋白插入磷脂层。低密度脂蛋白和脂质体的比例相同:0.16–0.17 mg磷脂酰胆碱/mg BSP。蜜桃性爱视频网站还不知道在冷冻保存的时间尺度上脂质体的非常微弱的插入是否有一些生物学后果。需要进一步研究分析每种BSP蛋白的表面性质及其在膜上的作用。此外,可以测试Langmuir膜,以检测BSP与膜的亲和力随温度的变化[20]。最后,Langmuir膜法是一种有效的筛选BSP蛋白质新螯合剂的方法。该方法可适用于其他动物物种。
致谢
作者感谢IMV Technologies(法国)的财务支持,Gérard Chatagnon负责精浆蛋白质定量,Véronique Solé负责凝胶电泳,Maureen Collobert负责英语校正,Alain Sire和Patrice Papineau负责手套箱的构思和实现,允许在受控大气中使用朗缪尔槽。





